Kieferorthopädische Prophylaxe ist bereits im frühsten Kindesalter sinvoll um die regelrechte Gebissentwicklung zu fördern. So helfen z. B. das Stillen des Säuglings und Gebrauch anatomisch geformter Flaschensauger das Erlernen funktioneller Schluckmuster. Lutschgewohnheiten am Daumen oder Kleidern sollten spätestens im Alter von drei bis vier Jahren abgestellt sein, um Schäden zu vermeiden.
Frühbehandlung
Die Frühbehandlung wird in der Regel als kieferorthopädische Kurzzeittherapie über einen Zeitraum von 1.5 Jahren durchgeführt. Sie kann bereits im Milchgebiss begonnen werden.
Das Ziel der Frühbehandlung ist ein günstiges Umfeld für eine weitere ungestörte Entwicklung im Kiefer-und Gesichtsbereich zu schaffen und soll so weiteren Fehlentwicklungen vorbeugen.
Eine Frühbehandlung ist indiziert wenn Fehlentwicklungen auftreten, sie zur Verschlechterung neigen, eine Wachstumsstörung zur Folge haben können und später nur sehr erschwert oder gar nicht korrigiert werden können.
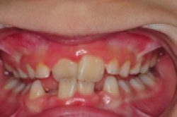
Vor der Behandlung
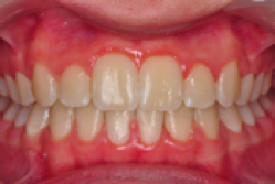
Nach der Behandlung


Weiter zu Hauptbehandlung

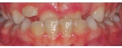
Vor der Behandlung
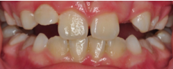
Während der Behandlung

