Hauptbehandlung
Der Zahnwechsel im Seitenzahngebiet korreliert zeitlich mit dem pubertären Wachstummsschub und ist ein idealer Zeitpunkt für den Beginn einer kieferorthopädischen Hauptbehandlung, um das zu erwartende Kieferwachstum für die Korrektur der Fehlstellungen auszunützen. In seltenen Fällen kann eine Fehlstellung so stark ausgebildet sein, dass eine Korrektur nur operativ möglich ist. In solchen Fälle kann mit der Behandlung erst begonnen werden, wenn das Wachstum weitestgehend abgeschlossen ist.
Am Ende der aktiven Phase der kieferorthopädischen Behandlung muss die neue Zahnstellung stabilisiert werden um einen Rückfall zu verhindern. Dies erfolgt mit den sogenannten Retentionsspangen.
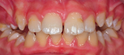
Vor der Behandlung
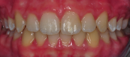
Nach der Behandlung


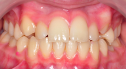
Vor der Behandlung
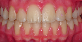
Nach der Behandlung


