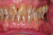
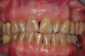
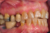
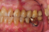
Präprothetische Kieferorthopädie
Um bei einer Versorgung mit Kronen, Brücken oder Implantaten optimale ästhetische und funktionelle Ergebnisse zu erzielen, ist in vielen Fällen eine spezielle kieferorthopädische Vorbehandlung notwendig.
Massnahmen sind hier die Aufrichtung gekippter Zähne, deren parallele Ausrichtung und somit optimale Kraft Verteilung, um später den Zahnersatz tragen zu können.
Die Öffnung von Lücken schafft Platz für Brücken und Implantatversorgungen.




