Parodontologische Kieferorthopädie
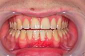
Durch Entzündungen des Zahnbettes und damit verbundenem Zahnfleischschwund und Knochenschwund kommt es häufig zu Zahnlockerungen, Zahnwanderungen und Lückenbildungen.
Nach einer Parodontitisbehandlung können die gewanderten Zähne kieferorthopädisch behutsam an ihre ursprüngliche Stelle zurückbewegt und dort anschliessend dauerhaft stabilisiert werden.



